「解剖」颈部淋巴结分区(精选资源)
「解剖」颈部淋巴结分区(精选资源)



(两横线:舌骨及环状软骨水平)
颈部淋巴结呈软组织密度,类圆或卵圆形,正常时短径小于5mm。
颈部淋巴结分为七区:
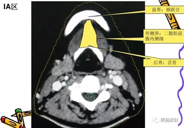
I区:颏下及颌下淋巴结
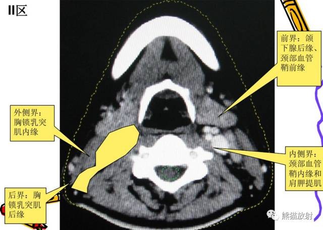
II区:颈内静脉链上组
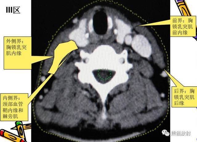
III区:颈内静脉链中组
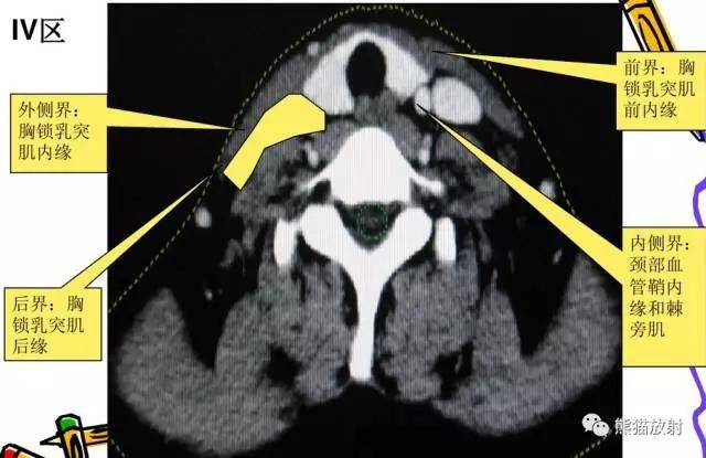
IV区:颈内静脉链下组
V区:颈后三角区淋巴结,即胸锁乳突肌后缘、斜方肌前缘及锁骨构成的三角区内的淋巴结
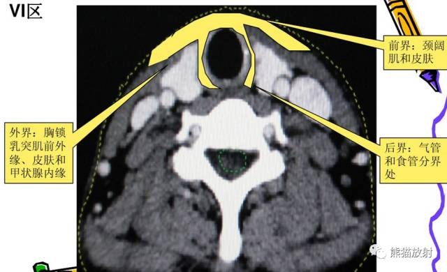
VI区:中央区淋巴结,包括喉前、气管前和气管旁淋巴结
VII区:上纵隔淋巴结















另:




舌骨上水平CT增强图像
横白线在两侧颌下腺后缘。
线以前为I区淋巴结,线后为II区淋巴结。在颈内静脉附近为IIA区,颈内静脉后面不接近静脉的淋巴结为IIB区。

舌骨水平CT增强图像
横白线划在胸锁乳突肌后缘。
白线前为III区淋巴结,后为V区淋巴结。




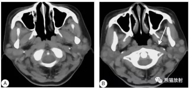
女性,45岁,淋巴瘤。显示双侧腮腺区、左侧咽后区淋巴结增大,病变无融合倾向。

女性,45岁,淋巴瘤。(A)黑箭显示双侧IB区淋巴结,白箭显示ⅡA区淋巴结。(B)白箭显示ⅠA区淋巴结,黑箭显示左侧Ⅴ区淋巴结。

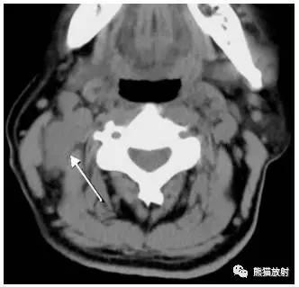
女性,56岁,箭头显示右侧颈部ⅡA区转移性低分化癌。

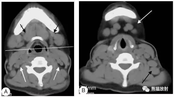
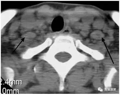
女性,45岁,淋巴瘤。黑箭显示双侧ⅡB区淋巴结。

显示左侧Ⅲ区颈部淋巴结转移。

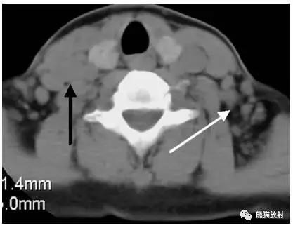
淋巴瘤。箭头显示右侧Ⅳ区,左侧Ⅴ区淋巴结增大。

淋巴瘤。黑箭显示双侧锁骨上窝淋巴结增大。










来源:熊猫放射
【版权声明】本平台属公益学习平台,转载系出于传递更多学习信息之目的,且已标明作者和出处,如不希望被传播的老师可与我们联系删除