牙科医生讲义第十五讲:什么是嵌体
牙科医生讲义第十五讲:什么是嵌体
牙科医生讲义第十五讲: 什么是嵌体
导读: 嵌体(inlay)是一种嵌入牙体内部,用以恢复缺损牙体形态和功能的修复体。其中部分嵌入牙冠内、部分高于牙面的修复体称为高嵌体(onlay)。与直接充填不同,嵌体是一种在模型上制作,用粘固剂或粘接剂固定在牙体缺损区的间接修复体。

(一)嵌体的种类
1.根据嵌体覆盖牙面数目和位置分类
(1)单面嵌体(图3-77):如牙合面嵌体、颊面嵌体、邻嵌体等。

(2)双面嵌体(图3-78):如近中拾嵌体(简称为MO嵌体)、远中牙合嵌体(OD嵌体)、颊牙合嵌体(BO嵌体)、舌牙合嵌体(LO嵌体)等。
(3)多面嵌体(图3-79):如邻抬邻嵌体(简称MOD嵌体)、颊牙合舌嵌体(简称BOL嵌体)等。
2.根据嵌体材料分类
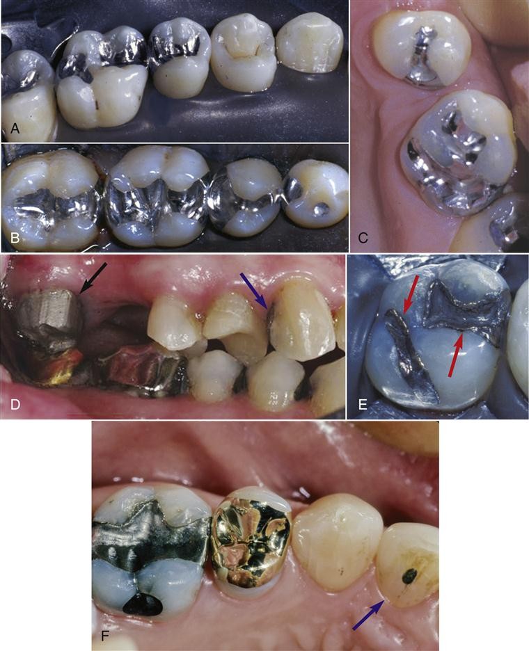
(1)金属嵌体:有贵金属及非贵金属合金嵌体。金合金化学性能稳定,有良好的延展性能和机械性能,是制作后牙嵌体理想的传统修复材料(彩图3—10)。
(2)树脂嵌体:采用高强度复合树脂材料在模型上加工成形或CAD/CAM成形,调磨抛光后用树脂粘接材料粘接于牙体组织上。树脂嵌体为牙色修复体,易修补,对对拾牙磨耗小,美观性好。
(3)瓷嵌体:采用陶瓷材料在模型上加工成形或CAD/CAM成形,用树脂粘接材料粘接于牙体组织上。不同陶瓷材料有不同的加工工艺,如直接在耐火材料代型上制作的烤瓷嵌体;CAD/CAM磨削出的瓷嵌体;在模型上做熔模包埋后热压铸成形的铸瓷嵌体;采用金沉积法制作组织面衬底后做的烤瓷嵌体。瓷嵌体具有优良的美学性能。
(二)嵌体的适应证及临床注意事项
牙体缺损经牙体预备后,当剩余牙体组织可以耐受功能状态下的各向力而不致折裂,并能为嵌体提供足够固位形时,则为嵌体修复的适应证(图3—80)。否则应考虑其它的修复形式。

一般来说能用充填体修复的牙体缺损都是嵌体的适应证。由于充填体是在口内直接完成,受
到材料、操作视野、患者张口时间及打磨抛光工具等限制,而嵌体是在模型上完成,有充足的视野和时间精细雕刻,可以高温高压成形,可以充分打磨抛光。因此,与充填体比较,嵌体有以下优越性:
1.嵌体可以更好地恢复咬合接触关系 采用充填体恢复、建立正常的牙合面形态及咬合接触关系有一定难度。而嵌体为口外制作的修复体,能够较容易恢复正确的牙合面形态与功能接触。
2.嵌体可以更好地恢复邻面接触关系 嵌体制作过程中可以通过制作活动代型,恢复良好的邻面外形、边缘密合度和邻面接触关系,而充填体受口内操作所限,通常难以恢复合适的邻面外形和邻接关系,常导致食物嵌塞、继发龋及牙周炎等。
3.嵌体具有更好的机械性能 与银汞充填体相比,金属合金嵌体在强度、耐久性上更优越,特别是金合金嵌体具有突出的耐腐蚀性能,可长期维持准确的形态与完整的边缘。而与树脂、玻璃离子充填体相比,瓷嵌体和树脂嵌体美观性更佳、边缘收缩性更小、耐腐蚀性、抗压强度及耐磨性都有更良好的优越性。
嵌体的不足之处及临床注意事项:
1.牙体预备量较充填体大 嵌体是间接修复体,需要一定的扩展预备才能顺利戴人,因此嵌体牙体预备时需去除倒凹。当缺损范围相同时,需要比充填洞形去除更多的牙体组织,而小范围龋坏或I类洞缺损时采用充填法则更能体现牙体保存修复的理念。
2.嵌体边缘线长易发生继发龋 与冠类修复体相比,嵌体的外形线更长,发生龋坏的几率更大。因此当临床牙冠低、龋坏率高、缺损大、牙体薄弱时均不适合选用嵌体,只能在龋坏率低、口腔卫生好的情况下应用。
3.嵌体比全冠固位力差 当受力大、磨耗重或有磨牙症时不适合选用嵌体。
4.根管治疗后牙体组织抗折性能差,不适宜选择嵌体修复的情况,可考虑高嵌体、全冠或桩核冠修复。
5.导热率高的金属嵌体不适合深龋患牙的修复;由于金属的导电性,金属嵌体修复时应避免对拾牙存在异种金属。
(三)嵌体的牙体预备
1.嵌体的牙体预备要求
(1)修复前准备:明确患者要求,检查患牙的牙体缺损情况了解缺损对邻牙和对牙合牙有无影响,拍x线片判断缺损部位的大小、位置以及牙髓情况、髓角位置,选择合适的修复材料及嵌体设计,才可进行牙体预备。
(2)去尽腐质:与牙体牙髓病学治疗时的要求一致。为消除细菌感染,终止龋蚀进展,要将感染坏死的牙体组织去除彻底。脱矿虽承抗力不足,但为避免露髓可适量保留。如为其它原因造成的牙体缺损,直接从下一步开始。
(3)预备具有固位形和抗力形的洞形:与直接充填不同,嵌体洞形有以下要求:
1)无倒凹:嵌体洞形无论多复杂,都只能有一个就位道,即轴壁之间应彼此平行,不能有倒凹,否则嵌体将无法就位,如果加外力强行就位则会导致牙折。一般要求外展度不超过6°,以保持良好的固位力(图3-81)。

2)有洞缘斜面(bevel):对于金属嵌体而言,洞形要求在洞缘处做45°洞缘斜面(图3-82)。制备洞缘斜面的目的:一方面是去除无支持的牙釉质边缘以防止折裂,最终将由嵌体相应的合金边缘覆盖预备出的洞缘斜面,金属合金强度较高,边缘虽薄但不会折裂;另一方面嵌体边缘终止在洞缘斜面上可避免因合金的铸造收缩导致边缘出现缝隙,减少微渗漏的发生;另外,它还可使边缘位置选择性地避开咬合接触点,修复体的边缘位置相对修复体本身或牙体而言,在视力作用下都是薄弱环节,原则上修复体边缘不应放在咬合接触点上,因此轴壁切割时用洞缘斜面将其边缘外移,既可遵循保存原则,又避开了咬合力。
然而,陶瓷嵌体不要求制备洞缘斜面,因为陶瓷为脆性材料,抗折强度较差,边缘需要有定厚度,否则易导致边缘折裂。
3)辅助固位形:对拾面嵌体而言,洞形外展不超过6°,洞形的高度在2mm以上,固位良好。邻拾嵌体除拾面洞形外,其邻面箱形增加了3—4个轴壁,也具备一定抵抗抬向脱位的固位力。除此之外,牙合龈向就位的嵌体,还需在功能状态下有抵抗邻向脱位的辅助固位形,如邻面片切面(图3—83)、拾面鸠尾(dovetail)及鸠尾峡(isthmus)(图3—84)、针形、沟形等辅助固位形,以辅助某些固位力不足的洞形增加某一方向的固位力。
2.邻牙合嵌体的牙体预备
(1)拾面洞形预备
1)定点、定深:用咬合纸仔细检查咬合接触关系,以确定牙合面的边缘设计位置能与正中胎接触点保持1mm的距离。用钨钢裂钻或金刚砂锥台形车针从拾面缺损或龋坏最宽处形成2mm定深隧道。
2)沿缺损范围扩展:根据缺损的深度与缺损边缘的位置形成牙合面部分的洞形,同时去除悬釉,颊舌向的扩展应尽量保守以保证颊舌壁的抗力形。洞形要求底平、壁直、点线角清楚。如拾面洞形最深处近髓,则应垫底形成平面,壁直可保证良好的固位力;点线角清楚是指洞缘处的外点线角,而洞底处的点线角应圆钝,因为直角会造成应力集中从而导致牙壁折裂,因此取印模前应对外形轮廓及线角进行精修(图3—85)。

3)制备牙合面鸠尾固位形:在牙合面洞形向邻面箱形的连接处形成从牙合面观类似鸠尾外形的固位形,相对于拾面部分稍窄,或拾面中央处稍做扩展达到鸠尾形效果(图3-86A)。

(2)邻面洞形的预备:根据邻面缺损的宽度形成箱形,进入邻面的缺损预备时,注意不要伤及邻牙;箱形洞缘的龈壁和颊舌壁应在邻面接触区外,龈壁的宽度为1mm。邻面洞缘应与邻牙间有间隙以便取印模时印模材料进入(图3-86B)。
(3)洞缘斜面制备:在所有的洞缘处做45°、宽约0.5—1mm的短斜面,使最终的嵌体边缘外形连续准确而完整。邻面的洞缘斜面往往被包括在邻面的片切面内,可在去除无基釉的同时使边缘位于自洁区,在邻面凸度较小,洞缘斜面不足以使邻颊舌边缘位于自洁区时,应在邻面预备出一个较大的片切面(图3-86C)。龈壁处的洞缘斜面,有时为避免预备时伤及邻牙也可与邻牙的凸度平行。OD嵌体牙体预备后最终洞形结构见图3—87。

(四)暂时嵌体
暂时嵌体(temporary inlay)是用于牙体预备、印模后到嵌体试戴之间的暂时修复体,起保护活髓、维持间隙、恢复功能与美观等作用。制作方法为:
1.直接法 直接在制备的窝洞内充填暂时冠材料,口内成形、调磨,材料固化后不取出,下次就诊时再取出或磨除。用于单面嵌体或无邻接关系的双面或多面嵌体。
2.间接法 牙体预备前取初印模,灌制石膏模型,在模型上用蜡恢复缺损区牙体正常轴面及牙合面形态,然后用该石膏模型制取缺损区及邻牙的局部印模,在牙体预备完成后将暂时冠材料注入印模内放入口内就位,材料固化后调试,取出打磨、抛光,用暂时冠粘固剂粘固。下次就诊时用探针挑出或磨除。适用于涉及邻接关系的嵌体,如OD嵌体、MOD嵌体等。
(五)嵌体的制作
1.金属嵌体的制作 采用直接法或间接法铸造完成。直接法是在患者口内预备的牙体窝洞中,直接用蜡或树脂制取熔模,送技工室包埋铸造的方法。直接法一般只适用于单面嵌体的制作。将工作模型送技工室,在模型与代型上制作熔模,再包埋铸造的方法称之为间接法,适用于涉及邻面的嵌体。间接法要求模型与代型必须十分准确,其优点是节省医生的椅旁时间,减少患者的就诊时间,易于建立正确的邻接与咬合关系,修复体边缘准确,所以是目前最常用的方法。
2.陶瓷嵌体的制作 陶瓷嵌体常用热压铸瓷技术或CAD/CAM切削技术完成。热压铸瓷嵌体是在模型与代型上制作熔模,包埋、用相应颜色的瓷块在高温铸瓷炉上热压铸成形,在模型上试戴、调胎染色、抛光或上釉完成。CAD/CAM陶瓷或树脂嵌体的制作是在工作模型或口内采集光学数据印模,在一旁或技工室对数字印模进行嵌体设计,再通过切削加工成形,调拾、染色、抛光或上釉完成。
(六)嵌体的试戴与粘固、粘接
相对于其它种类的修复体而言,嵌体体积小,试戴时不容易操作,尤其应注意避免患者误咽。步骤如下:
1.去除暂时嵌体或洞形内的暂封物,清洗窝洞。
2.修复体准备 检查嵌体组织面有无金属瘤及附着物。
3.嵌体就位 可用试戴喷剂喷在组织面上,在预备体上轻轻试戴,不能用力,否则会引起牙体折裂;并用较细的车针逐步磨除标记出的阻碍就位之处,直至完全就位。金合金嵌体一般使用Ⅱ型或Ⅲ型合金,较不锈钢器械软,如取下有困难,不可用不锈钢锐器钩住边缘强行取下。如为邻牙合嵌体,可用牙线从邻面带下,或用粘蜡、粘棒从拾面粘下。
4.检查 观察有无翘动、固位如何、边缘是否密合等;用牙线检查邻接关系,用咬合纸检查正中拾和非正中咬合接触,如有问题做调整。
5.调骀 调整正中牙合和非正中咬合接触,根据参照牙的咬合接触,咬合纸印迹和患者主观感觉判断咬合是否到位,用低速打磨机调磨,橡胶轮抛光,备用。
6.嵌体的粘固或粘接 金属嵌体用75%酒精清洁,陶瓷嵌体用4%氢氟酸酸蚀,涂树脂粘接剂。洞形清洁消毒。根据牙髓情况选择合适粘固或粘接材料。金属嵌体采用玻璃离子或聚羧酸水门汀粘固,树脂和陶瓷嵌体采用树脂粘固剂粘接。用牙线,探针仔细去除多余的粘接材料,再检查咬合。
(七)高嵌体
嵌体只能修复缺损部位的牙体组织,而不能保护剩余部分的牙体组织,当缺损范围大,牙壁有折裂的可能时,可设计高嵌体(图3—88)。

1.高嵌体的适应证
(1)后牙的多面嵌体,特别是前磨牙采用MOD嵌体往往牙折风险较大,因此更多采用MOD高嵌体(图3—89)。

(2)洞形骀面部分宽度较大时。
(3)拾面有较大范围缺损,包括牙尖缺损,需要恢复拾面外形及咬合接触者,同时有完整的颊舌壁可保留时。
2.高嵌体的优缺点
(1)优点:高嵌体牙合面被修复体覆盖,牙壁的受力将由嵌体时的拉应力改为压应力,可大大降低牙折的风险(图3-90)。

(2)缺点:牙体预备较复杂,固位力较差,边缘线较长。
3.高嵌体的牙体预备
(1)去除腐质、原有修复体、残余充填体及继发龋。
(2)拾面预备:顺应牙冠固有拾面外形,根据正常情况
下对颌的情况,预备出与对颌拾面较均匀的间隙。支持尖处磨除量应有1.5mm,非支持尖处磨除量可少些,约1mm,同时预备出支持尖外斜面。预备时可做指示沟,预备后检查预备出的间隙。
(3)预备功能尖外斜面肩台:功能尖内外斜面与对牙合牙间的间隙应均匀,牙尖位置应不偏颊侧或舌侧,位于原牙尖处。原则上高嵌体的边缘也要求远离抬接触1mm,但由于功能尖要被覆盖,
因此,在外斜面下沿就位道做一轴壁,其高度根据拾关系设计,覆牙合深则轴壁高,反之则低,轴壁下形成1mm宽肩台,这样才能在高嵌体受力时形成良好的支持(图3-91)。

(4)形成拾面峡部的轴壁与洞底:去除原有充填体、龋坏,修整缺损洞壁,去除倒凹即可。磨牙高嵌体拾面牙体预备外形与嵌体相同,即预备出颊舌侧相对平行的轴壁,外展度不要超过6°,对轴壁上不影响牙体组织固位与抗力的小龋洞应用水门汀填平,并将洞底预备平整。
(5)预备邻面或颊舌面箱形:根据缺损,预备出轴面箱形,要求同嵌体。其颊舌壁线角不应超过轴线角,否则应作全冠。龈阶宽度不要小于1mm。箱形是高嵌体预备的关键所在,车针应顺就位方向准确预备,如操作速度过快使箱形的轴壁预备角度过大则很难再修改。
(6)修整边缘线:最后修整功能尖外斜面肩台、邻面箱形洞斜面等,所有边缘处做出连续光滑的斜面,斜面宽约0.5—0.7mm(图3-91),使其成为连续的最终边缘线。
(八)非金属嵌体
随着粘接技术的进步,树脂和陶瓷嵌体的应用越来越多,此类修复体牙体预备原则上与金属嵌体相同,但由于其固位主要靠粘接而不靠固位形,因而其牙体预备要求也有所不同:
(1)拾面磨除量应满足材料的强度所要求的厚度(2—2.5mm)。
(2)各轴壁可外展至15°—20°以方便就位;为保存牙体组织,轴壁局部的倒凹可用玻璃离子或树脂填平;线角应更圆钝以减小应力。
(3)修复体的边缘采用对接形式,不做洞缘斜面,避免洞缘处瓷层过薄而折裂。
(4)近髓处采用氢氧化钙垫底,暂封材料不能使用丁香油等酚类材料,以免影响树脂粘接效果。
牙体预备完成后,如龈壁位于龈沟内,则印模前应常规排龈;采用精细印模技术(硅橡胶或聚醚橡胶印模)或数字化印模技术(CAD/CAM数据采集)印模。根据需要做胎记录,洞形采用暂封材料充填或暂时嵌体修复。